本文へスキップ

鎮静麻酔でうとうしてリラックスした状態で歯の治療が行えます。 福島県郡山市の歯科医院 グッスリ歯科クリニックです。

電話でのご予約・お問い合わせTEL.024-953-6480

〒963-8026 郡山市並木2丁目14−13

審美歯科Dental Esthetic

歯をより自然に、より美しく見せるために

歯には、食べ物を咀しゃくする機能的側面と、表情を明るくするといった美的側面があります。 審美歯科は、歯の美しさに焦点を当てた治療を行う診療科目です。従来、歯科治療と言えば、むし歯を治療して物が噛めるようになった、痛みがなくなった、と満足していただくのがひとつの目的でした。

現在はそれに加えて、歯をより自然に見えるようにしたい、より美しくしたいと望む患者さまが非常に増えています。 当院では、徹底して美しさにこだわった審美歯科治療を行っており、高いレベルの治療を望まれる患者さまのご要望にお応えしています。

審美歯科の治療には、補綴(ほてつ)による治療法とホワイトニングによる治療法があります。どちらも、白い歯にしたい、歯並びを美しく見せたい、詰め物や被せ物を自然に見せたい、という患者さまの要望にお応えします。  

当院の主な審美歯科メニュー

保険治療では色調がほかの歯と違ってしまうことがあるのに対して、自由診療ではさまざまな材料を選ぶことができ、自然に近い色調の歯を得ることができます。

治療にあたっては、患者さまにサンプルを見ていただき、納得のいく色調をお選びいたします。また仮歯を作る際には、全体との調和を見ながら患者さまの要望を満たす形に仕上げていきます。

自然な色の歯を再現できるセラミッククラウン

クラウンとは、形の悪い差し歯や被せ物を治したり、むし歯で歯が欠けたりしている場合などに用いる人工冠(差し歯)のことで、補綴治療に属します。すべてセラミックでできたオールセラミックや内側に金属を使用したメタルボンドなどがあります。当院では特にジルコニアセラミックイーマックスをお勧めしています。

●優れた強度と審美性に富むジルコニアセラミック

ジルコニアセラミックは、通常のオールセラミッククラウンの内側にジルコニアを使ったものです。
セラミックよりも強度が高く、金属アレルギーの心配もありません。また透明度が高いので、歯ぐきが明るく見えるという長所があります。強い力がかかる奥歯やブリッジなどにも利用できます。

●最先端の素材イーマックス(e.max)

イーマックスは、ジルコニアと並んで人気が高い素材です。被せ物全体がニケイ酸リチウムガラスセラミックというガラス成分を主体にしたセラミックで、透明感が高く、色調に優れているのが特徴です。
強度が高いので奥歯にも使えるほか、歯ぎしりや食いしばりといった癖のある方も利用できます。
また、金属を使用しないので、金属アレルギーの心配もありません。

ホワイトニング

変色した歯を漂白剤を用いて白くします。
ホームホワイトニングと、オフィスホワイトニングがあります。

セラミックス治療

セラミックスにより、白くきれいな歯にすることができます。

ハイブリッドセラミックス

セラミックスに一部樹脂が混ざっており、セラミックスには及びませんが、セラミックス治療よりも安く白く治療することができます。

ダイレクトセラミックス

直接、お口の中にハイブリットセラミックスにより、1日で白くします。

ラミネートベニヤ

歯の表面に薄い付け爪のようなセラミックを張り、歯を白くします。
歯を削る量が少ないので歯にやさしい治療です。

神経のない歯を白くするウォーキングブリーチ

根管治療で歯髄を取り除いたり、事故などで歯をぶつけたりしたために神経が死んでしまった場合、歯の内側が変色して黒っぽくなることがあります。 こうした変色した歯を内側から白くするのが、ウォーキングブリーチという治療法です。 神経を取り除いたあとの穴にホワイトニング薬剤を注入し、徐々に歯に浸透させていきます。

ウォーキングブリーチ前 → ウォーキングブリーチ後

ガムピーリング

黒くなった歯茎をきれいなピンク色にもどすことができます。一回3分程の治療で1週間後にはきれいなピンク色に戻ります。

ガムピーリング1 → 
ガムピーリング2 
    メラニン色素が付いている歯肉を
ピーリングします。
         ↓
 ガムピーリング4  ←  ガムピーリング3
3日程度で表粘膜が剥がれおちます。
約1週間でメラニンが落ちて、ピンク色の歯肉に戻ります。
  薬液を付けるので、このように、
2〜3日患部が白くなります。

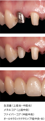
ファイバーコア

保険では金属の土台ですが、ファイバーの白い土台を入れることで、歯がより長持ちします。

ファイバーコアによる治療(歯の土台)

土台の損傷イメージ 歯には、食事の時や歯ぎしり・食いしばりの時など毎日いろいろな方向から強い力がかかっています。
一般的に使用されている金属の土台(メタルコア)(保険治療にも使用される)土台は丈夫ですが硬すぎるため、十分な歯質が残っていない歯では、強い力がかかった時に歯が割れてしまうことがあります。
このような場合、歯の保存が難しい割れ方(縦破折)をすることが多いため、抜歯になる可能性が高くなります。

歯質の少ない歯には、硬さやしなり具合が歯と似ているファイバーコアを使用することで、歯が受け止める力を分散して破折などのリスクを減らすことができます。
当歯科医院では、歯の土台(コア)はファイバーコアが最良の方法であり、将来的に歯を守ることに繋がると考えております。

コアの比較画像
メタルコア


ファイバーコア


  • 健幸会活動紹介
  • デンタルローンエポス

グッスリ歯科クリニック

〒963-8026
郡山市並木2丁目14−13
TEL 024-953-6480
FAX 024-953-6481